Are You Ready For A Brand New Smile?
Doctor-led,
boutique orthodontics in Jenkintown
A free initial consult to get your family’s smile on track
Smile Beautifully. Smile More.
A complimentary first visit that replaces guesswork with clarity, confidence, and a plan built around your bite.
You’ll meet with Dr. Sethi for a thorough bite and smile evaluation.
Great orthodontics starts before treatment begins
When you start with a doctor-led evaluation and a customized plan, treatment stays intentional from day one. Every step supports a healthier bite, fewer surprises, and long-term results.
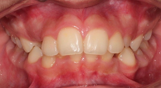
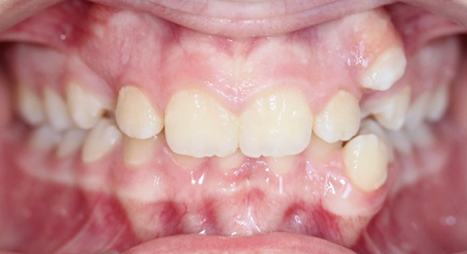
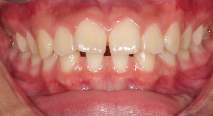
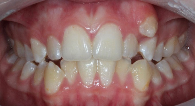
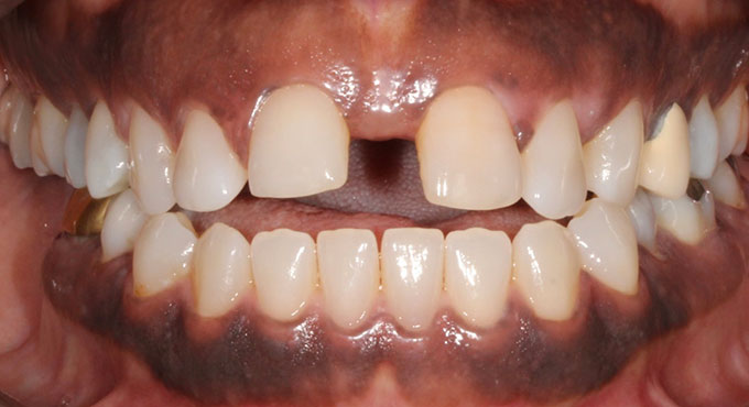
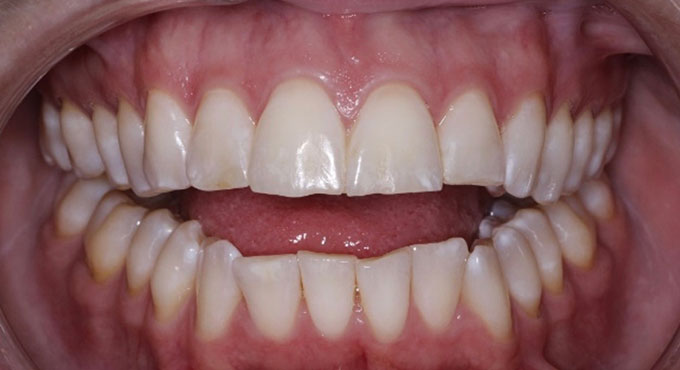
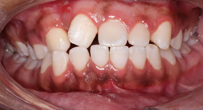
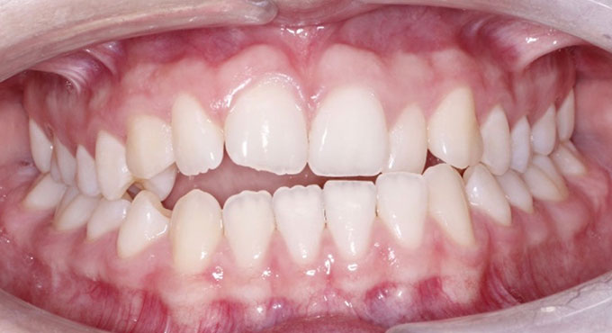
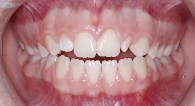
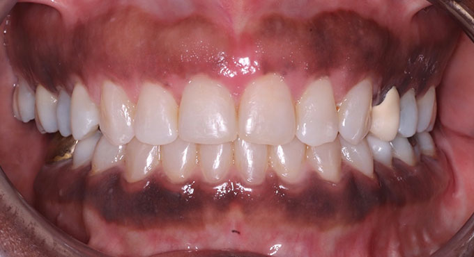
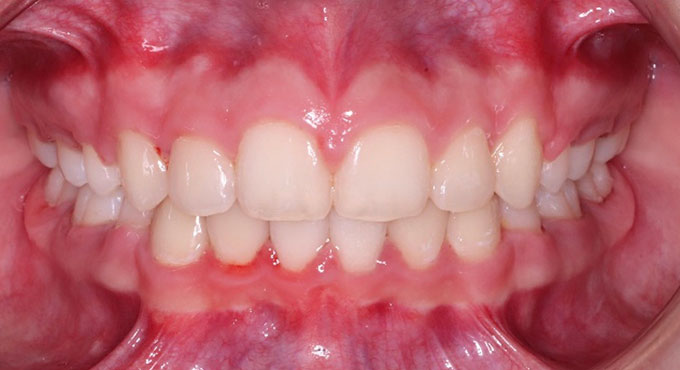
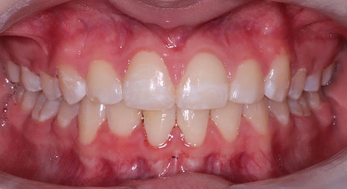
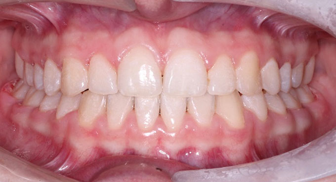
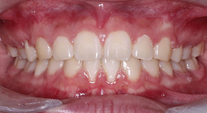
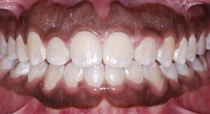
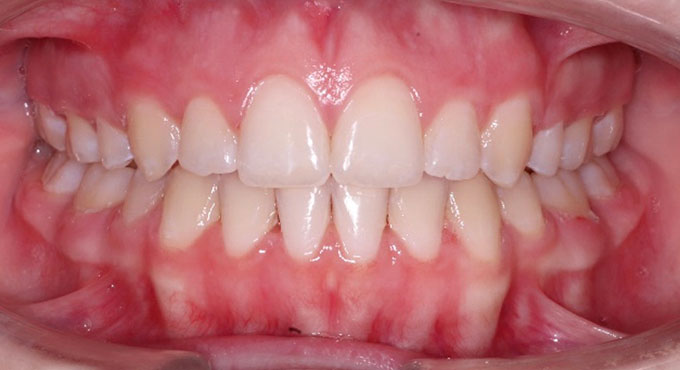
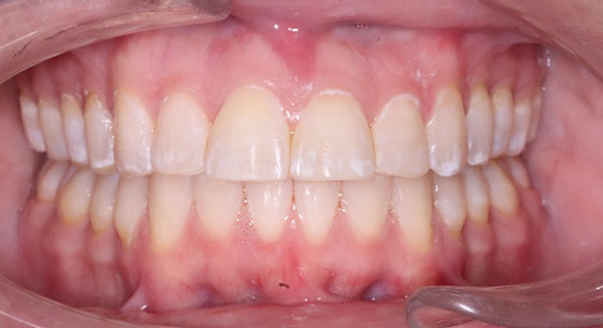
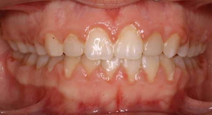
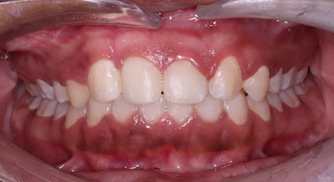
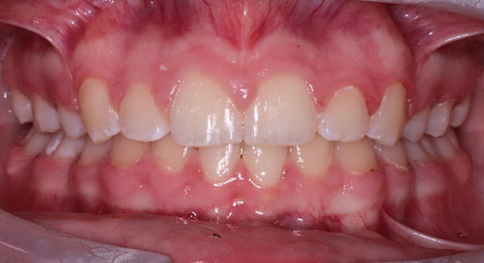
Smile Gallery












Meet Dr. Ash Sethi
ABO-Board Certified Orthodontist
Using modern orthodontic technology and thoughtful, custom planning, he delivers beautiful smiles with a healthy, stable bite ready for what the future holds.
Patients who’ve experienced the Sethi Smiles difference
“Dr. Sethi and his team were professional and top-notch from start to finish. Our family would not hesitate to recommend Dr. Sethi and his team!”
- Lauren C.
- Denia B.
- Chuck W.
“Dr. Sethi did a fantastic job with my daughter’s braces, and the entire office staff is great. Thank you!”
- Jaz M.
Payments and insurance,
minus the plot twists
We help you use insurance benefits
We’re in-network with many plans and work with most insurances (excluding Medicaid). Our team helps you understand coverage, submits what’s needed, and keeps things clear.
Payment plans that feel doable
Treatment plans that fit between school, work, and everything else
Orthodontics for Kids & Teens
Orthodontics for Adults
Braces
Clear Aligners
Patient Forms
Health History Form — Under 18 Years Old
Health History Form — Adult
HIPAA and Communication Consent Form
Feel like a superhero at every visit
One orthodontist, all the way
Don’t settle for care by committee. Dr. Sethi stays closely involved throughout treatment so your progress is monitored consistently, and your plan stays on track from start to finish.
Bite-first, future-proof results
Straight teeth are only part of the goal. Treatment focuses on function, balance, and long-term stability so your smile looks great now and stays strong for the long run.
Modern care without the chaos
Texting, digital forms, and streamlined visits keep things efficient. You get clear communication, reliable follow-through, and a process that respects your schedule.
FAQs
Will I leave the free consult knowing an actual plan and timeline?
Why should I care if my orthodontist is ABO-Board Certified?
Board certification means extra voluntary testing beyond residency. For patients, that typically shows up as a stronger diagnosis and better results — fewer shortcuts, more precision, and a result that looks good and holds up.
Will Dr. Sethi be at my appointments?
My kid is nervous — what is the first visit like?
I’m an adult — will this feel like a kid’s office?
How do you decide between braces and clear aligners for my situation?
Ready when you are
Request a free consult and get a clear, personalized plan built to last. If you’re exploring orthodontics in Jenkintown, this is your next step.
Our Jenkintown office
403 Washington Ln
Jenkintown, PA 19046
Our Hours:
Monday-Thursday: 8:30am-5:30pm
Every Other Tuesday: 12:30pm-7:30pm